
A gum lift (also called gum contouring or gingivoplasty) is one of the most underappreciated cosmetic dental procedures available. It's fast, permanent, and can dramatically change the proportionsand symmetry of your smile — often without a single veneer involved.
If you've ever felt like your teeth look too short, your smile looks 'gummy,' or your gum line is uneven in a way that bothers you, this guide is for you.
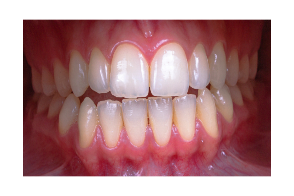
A gum lift is a cosmetic procedure in which a dentist carefully removes and reshapes excess gum tissue to expose more of the tooth surface underneath. The goal is to create a more balanced, proportional gum line that complements the teeth and overall smile.
Despite the clinical name, the procedure itself is far less intimidating than it sounds. Using a dental laser or fine surgical instruments, the excess tissue is gently removed with precision. There are no stitches in most cases, minimal bleeding, and recovery is typically measured in days — not weeks.
At ME Dental, Dr. Moran approaches every gum lift with a keen eye for symmetry and facial harmony. The result should look completely natural — as if your teeth were always that size.

A gummy smile — where the gums are prominently visible when you smile — can develop for several reasons:
In many cases, a gum lift can address the issue directly. In others — particularly when jaw structure or lip movement isthe root cause — Dr. Moran will discuss whether a gum lift alone is the right approach, or whether it should be combined with other treatments.

A gum lift is a highly targeted procedure, and candidacy depends on what's actually causing your gummy smile or uneven gum line. Here's a straightforward way to think about it:
The best way to know for certain is a consultation. Dr. Moran will examine your gum tissue, tooth structure, and biteto give you an honest assessment of whether a gum lift will achieve the result you're looking for.
Like any dental procedure, a gum lift comes with both clear benefits and things to keep in mind. Here's an honestlook at both sides:
The most important"consideration" worth expanding on is the irreversibility: becausegum tissue doesn't regenerate, a gum lift is a permanent change. This isn't a reason to avoid it — but it is a reason to have the procedure performed by adentist with a strong aesthetic eye and experience in cosmetic work. The design of the new gum line matters enormously.
Here's exactly what to expect during a gum lift appointment at ME Dental, step by step:
One of the most powerful aspects of a gum lift is how well it complements other cosmetic dental procedures. In fact, formany patients pursuing a full smile makeover, the gum lift is done first —because it establishes the correct tooth proportions before veneers orwhitening are applied.
Here's how gum lifts are commonly paired:
→ Learn more about full smile makeovers at ME Dental
→ Explore porcelain veneers at ME Dental
Patients who have had a gum lift at MEDental consistently describe the same experience: the change feels bigger thanthey expected, even when the amount of tissue removed was minimal. What looks like a subtle adjustment in the chair produces a noticeably different smile inphotos and in the mirror.
The most common feedback? That their teeth finally look the right size. That their smile feels more balanced. Andthat they wish they'd done it sooner.
You can see real before-and-after gum lift cases in the ME Dental Smile Gallery.
→ View before-and-after smile transformations
External Resources
For more information from trusted dental and health organizations:
1. American Academy ofPeriodontology: Cosmetic Periodontal Procedures
The AAP is the leading professional organization for gum health specialists in the United States. Their patient-facing resource on cosmetic periodontal procedures covers gum contouring, crown lengthening, and related treatments in clear, accessible language. A strong reference for anyone wanting a clinical perspective on what gum reshaping involves and how it's performed.
2. WebMD: Gum Contouring and Reshaping
WebMD's overview of gum contouring covers candidacy, what the procedure involves, recovery expectations, and cost considerations. It's written for a general patient audience and does a good job addressing common concerns around pain, healing time, and permanence — making it a useful starting point for patients researching the procedure for the first time.
3. Healthline: Gum Contouring — What to Know
Healthline provides a well-rounded, medically reviewed guide to gum contouring that covers the difference between cosmetic and functional gum procedures, what recovery looks like day by day, and how to care for the gum tissue as it heals. Their inclusion of aftercare specifics makes this a helpful resource for patients who've already decided to move forward and want to know what to expect post-procedure.

Dr. Olivia Moran was born in the Philippines and raised across several countries. She knew she wanted to be a cosmetic dentist since she was 12. She received her Doctorate in Dental Surgery at Arthur A. Dugoni School of Dentistry and took a leap of faith and opened her practice a year after graduating, during the height of a global pandemic. Dr. Moran is passionate about cosmetic and comprehensive dentistry. She has taken hundreds of hours of continuing education to continuosly perfect her craft in cosmetic and comprehensive dentistry. She is known for her kind and gentle approach, meticulous attention to detail, and passion for creating smiles that feel beautiful, confident, and uniquely suited to each patient.














